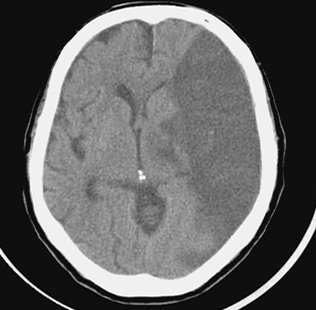
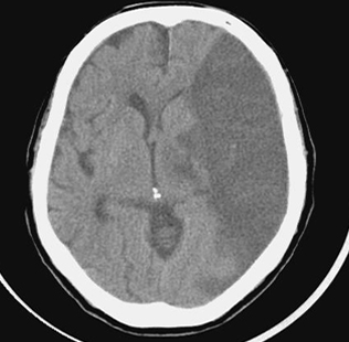
뇌졸중 증상에는 두 가지 유형이 있습니다. 뇌의 혈관이 막힐 때 나타나는 증상은 뇌경색이고, 막힌 혈관이 터지면 나타나는 증상은 뇌출혈이다. 얼마 전 유명 배우가 뇌출혈로 세상을 떠났다. 뇌출혈이 일어나기 전에 예후와 초기 증상이 있습니다. 이것을 빨리 깨달아야 합니다.
이번 글에서는 뇌경색 초기증상에 대해 알아보겠습니다. 외부 충격이나 혈압에 의해 자주 발생하는 증상인 뇌출혈은 목 뒤를 잡고 있는 상태에서 이른바 낙상을 연상시킬 수 있다. 한편, 뇌경색은 혈관이 막혀 발생하는 증상으로 마비를 동반하여 신경계 장애를 유발한다.
뇌경색 초기증상 총정리






뇌경색 이란
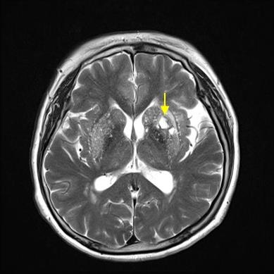
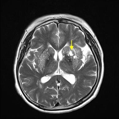
뇌의 혈관이 막혀 해당 영역의 뇌 일부가 죽는 상태입니다. 뇌혈전증과 뇌색전증이 있습니다. 심한 협착으로 인해 뇌로 가는 혈관이 완전히 막히거나 혈류가 현저히 감소하면 뇌 조직의 이 부분이 죽고 결국 녹습니다. 뇌연화증은 뇌세포가 죽어 부드러워지는 현상이고, 뇌성마비는 뇌경색으로 인해 뇌세포가 죽어가는 현상이다. 요약하자면 뇌혈관이 막혀 눈앞의 뇌조직이 괴사하는 질환이다.






뇌경색 원인
뇌혈관이 막혀 뇌의 일부가 파괴되는 질환이다. 심장병이나 동맥 경화로 인해 발생할 수 있으며 이는 60세 이상의 사람들에게 더 흔합니다. 고혈압, 고지혈증, 당뇨병이 있는 사람들은 동반 증상을 경험할 수 있지만 날씨가 추울 때 노인들에게 더 흔합니다. 뇌의 특정 부위에 흔히 발생하며 한쪽 팔과 한쪽 다리의 마비가 뇌경색의 대표적인 증상이다.
뇌경색 초기증상
✔ 뇌경색 초기증상 - 어지러움, 이명
뇌가 제대로 작동하지 않으면 현기증을 일으키고, 가만히 있는 느낌이 들고, 땅이나 그 주변의 사물이 움직이는 것을 느낄 수 있으며, 많은 뇌경색이 있는 사람들은 귀에서 갑자기 소리가 난다고 말합니다. 초기 증상으로 인해 똑바로 걷기가 어렵고 술을 마시지 않아도 종종 취한 것처럼 비틀거립니다.






✔ 뇌경색 초기증상 - 언어 장애
뇌경색의 초기 증상으로 몸이 좋지 않은 것으로 전해졌다. 말을 하려면 뇌에서 오는 신호로 나오며 뇌로 가는 혈류가 원활하지 않고 발음이 불명확하면 발음이 흐릿해진다. 처음에는 단어가 기억나지 않고 발음이 정확하지 않을 수 있지만 오래 지속되면 뇌혈관이 막혀 증상이 악화될 수 있습니다.
✔ 뇌경색 초기증상 - 피로감
특별한 질병이나 증상이 없고 갑작스러운 피로감이 나타나면 뇌경색을 의심해야 한다. 그리고 뇌경색이 발생하면 콜레스테롤과 노폐물이 혈관을 막아 뇌에 공급해야 하는 혈액과 영양소가 제대로 공급되지 않아 피로와 피로감 등의 증상이 나타난다고 합니다.



✔ 뇌경색 초기증상 - 복시
후두엽의 혈관이 막히면 첫 번째 증상은 시력 저하 또는 복시입니다. 또한 단순한 시력 상실보다는 텍스트나 사물이 겹쳐서 잘 보이지 않는 증상이 있다고 합니다. 따라서 일반적으로 시력은 점차적으로 저하되지만 뇌경색의 경우에는 시력이 급격히 저하되거나 한쪽 눈이 전혀 보이지 않을 수 있습니다.
✔ 뇌경색 초기증상 - 팔과 다리의 근력 저하
뇌경색이 발생한 부위 반대편 팔이나 다리가 마비되어 이동성과 저림이 감소합니다. 걸을 때 증상이 뚜렷하지만 환부에 힘이 없어 걸을 때 한쪽 다리가 비틀거리고, 뇌의 부위에 따라 한쪽 다리가 움직이지 않거나 한쪽 팔이 갑자기 펴진다고 한다.






✔ 뇌경색 초기증상 - 두통
설명할 수 없는 두통이 발생하거나 갑자기 머리가 부서지는 것과 같은 심한 통증이 있을 수 있습니다. 뇌경색의 경우 어지러움, 메스꺼움, 구토, 목 뒤를 머리 쪽으로 당기는 두통 등이 나타날 수 있다고 합니다.
✔ 뇌경색 초기증상 - 안면 마비
인간의 행동은 뇌에 의해 통제되고 지시되는데 이때 뇌경색의 초기증상이 나타나면 인지능력이 저하되고 정상적인 의사소통이 불가능하다. 갑작스러운 안면마비는 뇌경색의 초기 증상 중 하나일 수 있습니다. 안면마비의 경우 뇌경색은 전대뇌동맥에서 가장 흔하게 발생한다. 표정을 짓지 않아도 얼굴이 일그러지거나 마비될 수 있습니다.






뇌경색 치료방법
수술로 대뇌동맥이 심하게 좁아지면 스텐트나 경동맥내막절제술을 통해 동맥경화 자체를 없앨 수 있다.
혈전 용해제는 약물 치료에 사용됩니다. 뇌의 막힌 혈관에 혈전용해제를 도포하여 혈전을 녹이는 치료법입니다. 동맥 내 및 정맥 내 투여의 두 가지 방법이 있습니다. 동맥내 투여 방식의 장점은 즉시 효과를 볼 수 있다는 것이지만 단점은 시간과 노동력이 많이 든다는 점이다. 뇌졸중 후 3시간 이내에 사용할 수 있는 정맥주사법은 간편하다는 장점이 있지만 즉시 확인이 어렵다는 단점이 있다.
또 다른 약물 치료는 해열제입니다. 플라빅스, 아스피린, 티클리드, 프리탈은 혈전이 혈관벽에 형성되는 것을 방지하는 약물입니다. 따라서 항응고제가 사용됩니다. 뇌색전증으로 인한 뇌경색이나 심장병으로 인한 박리 시 혈액 응고를 멈추는 데 사용합니다.
지금가지 뇌경색 초기증상 및 뇌경색 원인과 치료방법까지 간략히 살펴보았습니다. 뇌경색은 초기대응 4시간이 중요합니다. 상기 내용을 숙지했다가 긴급시에 꼭 활용하길 바랍니다.
함께 알아두면 좋은 정보 ⬇⬇⬇⬇⬇
대상포진 초기증상 8가지
대상포진을 아직 앓아보지는 않았지만 의심되는 증상으로 병원에 자주 갔었습니다. 의사 선생님께서 진찰한 결과로는 대상포진의 사촌 격에 해당하는 포진이 제 몸속에 있습니다. 그래서 이 포
inthinking.abibcor.org
당뇨병 초기증상 10가지 ( 치료법 )
현재 장인어른께서 당뇨를 앓고 계십니다. 그래서 가족들끼리 모여서 식사를 할때면 메뉴 선정에 가끔 장인어른의 컨디션을 고려하는데요. 매우 피곤해 하실때가 있어서 먼거리의 식당을 가기
inthinking.abibcor.org
'건강 맛있게' 카테고리의 다른 글
| 파킨슨병 초기증상 총정리 (0) | 2022.06.12 |
|---|---|
| 당뇨수치 기준 ( 혈당 낮추는 방법 ) 알아보기 (0) | 2022.06.08 |
| 당뇨에 좋은 음식과 나쁜 음식 총정리 (0) | 2022.06.06 |