친구의 아버지께서 가슴 통증이 심하게 와서 병원에 다녀오셨는데 평소에 담배를 피지 않는데 왜 가슴이 아플까 하셨다고 한다. 병원에서 이런저런 검사를 하며 나온 증상은 협심증 초기증상이라고 한다.
협심증은 가슴, 심장 통증으로 일반적으로 알고 있는데 이번 포스팅에서 좀 더 구체적으로 정리 및 요약을 하며 협심증에 대해 자세히 알아보는 시간을 가져보길 바랍니다. 위급시에 알고 있으면 응급처치가 가능할지 아무도 모르기때문입니다.
협심증 초기증상 ( 치료방법 )






협심증이란
심장은 3개의 주요 혈관(관상동맥)을 통해 산소와 영양분을 공급받아 작동합니다. 동맥경화증, 혈전증, 혈관수축, 연축으로 인해 3개의 관상동맥 중 어느 하나에 급성 또는 만성 협착증이 발생하면 심장 전체 또는 일부에 산소와 영양분 공급이 감소하고 심장으로의 공급이 감소합니다.
산소와 영양소가 급격히 감소하고 심근은 허혈에 이차적입니다. 이 상태를 협심증이라고 합니다. 협심증은 3가지 유형으로 구분되는데, 하나는 동맥경화(만성) 안정형 협심증의 만성 협착으로 인한 협심증이고, 다른 하나는 동맥경화성 병변과 혈전 파열로 인한 협심증으로 갑작스럽게 협착이 악화되는 불안정형 협심증이라고 합니다.
마지막으로, 동맥경화 병변이 없음에도 불구하고 혈관경련으로 인한 혈류 차단으로 인한 협심증을 변이형(이형성) 협심증이라고 합니다.



협심증 원인
심장은 3개의 관상동맥을 통해 산소와 영양분을 공급받고 일생 동안 전신에 혈액을 운반하는 중요한 기관입니다.
따라서 관상동맥에 이상이 생기면 심장, 더 정확히 말하면 심근에 불가피하게 2차적 영향을 미치게 된다. 관상동맥의 가장 안쪽 층은 내피세포로 둘러싸여 있으며, 이 내피세포가 건강할 때 동맥경화나 혈전에 의한 협착이나 폐색이 잘 일어나지 않는다.
그러나 내피세포가 손상되어 기능이 저하되면 관상동맥을 흐르는 혈액에 포함된 혈소판과 대식세포가 활성화되어 만성 동맥경화증이 진행된다.
이 협착에 의해 관상동맥의 70% 이상이 막히게 되면 심근의 일부가 허혈 상태가 되고 관상동맥 혈류가 좋지 않아 협심증을 유발하여 흉통 등의 증상을 유발한다.






협심증 초기증상
✔ 협심증 초기증상 - 호흡 곤란
협심증의 초기 증상으로 호흡이 어려울 수 있습니다. 협심증의 증상이 나타나면 심장에 혈액이 제대로 공급되지 않아 발생합니다.
✔ 협심증 초기증상 - 구토
구토는 협심증의 초기 증상일 수 있습니다. 구토는 혈액이 부족할 때 나타나는 증상입니다. 몸이 좋지 않으면 구토, 어지러움 등의 증상이 자주 나타나므로 협심증의 초기 증상으로 치료해야 합니다.






✔ 협심증 초기증상 - 신체 부위 통증
협심증의 초기 증상에는 목, 팔 및 기타 신체 부위의 통증이 있습니다. 협심증을 초기에 치료하지 않으면 다른 통증이 발생할 수 있습니다. 또한 식은땀, 가슴 답답함, 호흡 곤란이 있을 수 있습니다.
이러한 증상이 갑자기 나타나는 이유는 찬바람을 맞으며 외출을 하거나 갑자기 20~30층으로 계단을 오르면 협심증 증상이 나타나므로 일상생활에서 주의가 필요하기 때문이다.
✔ 협심증 초기증상 - 가슴 통증
협심증의 첫 번째 증상은 가슴 통증입니다. 협심증은 가슴에 바늘로 찌르는 듯한 통증이 있거나 전신에 통증이 있는 것이 특징입니다.
또는 가슴이 눌리는 느낌, 무언가에 짓눌리는 느낌 등 다양한 증상이 15분 정도 지속되기도 합니다. 이러한 통증이 나타난다면 협심증의 초기 증상일 수 있으므로 치료가 필요할 수 있습니다.









✔ 협심증 초기증상 - 소화 장애
소화기 문제는 협심증의 초기 증상이라고 합니다. 그 이유는 혈액이 전신에 제대로 공급되지 않아 신진대사가 느려지고 소화기 장애가 생기기 때문입니다. 소화불량이나 속이 더부룩한 것은 협심증의 초기 증상일 수 있습니다.
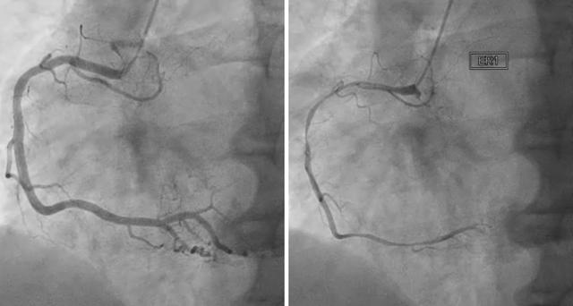
협심증 치료방법
협심증의 치료는 크게 약물치료와 개방치료, 개방혈관확장과 중증협착으로 구분된다. 협심증에서 불안정형 협심증은 최근에 통증이 악화되거나 안정시에도 통증이 지속되는 경우 심근경색 전 단계이므로 심근경색증에 따른 관리 및 치료가 필요하다.
따라서 불안정형 협심증의 병태생리는 최근 심근경색증과 동일하므로 흔히 급성관상동맥증후군이라고 부른다. 국내에서는 최근 몇 년간 주요 병원에서 응급 심혈관 수술이나 스텐트 시술을 시행하고 있으며, 그 경과와 치료 효과가 크게 개선되고 있다.



심장성형술과 스텐트 시술은 요골동맥이나 대퇴동맥을 통해 혈관이 막히거나 좁아진 곳을 찾아 혈관 조영술을 시행한 후 풍선과 스텐트라는 철망을 이용해 혈관에 카테터를 삽입해 혈관을 넓혀주는 시술이다. 대부분의 병원에서 일주일 이내에 또는 빠르면 다음 날 퇴원할 수 있습니다.
또는 혈관이 약하거나 심혈관 수술 및 스텐트 삽입에 적합하지 않은 경우 관상동맥 우회 수술이 대안이 될 수 있습니다. 협심증의 치료는 미래의 협심증 재발과 심근경색증으로의 진행을 예방하는 데 중점을 두고 있습니다.
스텐트 삽입 시 스텐트 내부에 치명적인 혈전 형성으로 인한 혈관의 재폐색을 방지하는 것은 약물 치료의 중요한 목표 중 하나이다. 대부분의 환자는 아스피린을 포함하여 추가 심장 보호 특성이 있는 혈압 약을 복용하며 당뇨병이 있는 경우 항고지혈증 약물 및 경구 혈당강하제 또는 인슐린을 복용합니다. 니트로글리세린과 같은 혈관 확장제가 첨가될 수 있습니다.



이상으로 협심증 초기증상에 대해서 알아보았습니다. 협심증 원인과 협심증 치료방법을 참고하여 증상 발현에 대한 이유와 내용에 대해 참고하길 바랍니다.
함께 알아두면 좋은 정보 🔻
위암 초기증상 ( 좋은 음식 )
위장에는 여러 유형의 세포가 있습니다. 암은 한 종류의 세포가 필요 이상으로 과도하게 자라는 질병이므로 위에 있는 세포 중 하나라도 암세포로 변하면 모두 위암으로 발전할 수 있습니다. 따
inthinking.abibcor.org
파킨슨병 초기증상 총정리
파킨슨병은 치매에 이어 두 번째로 흔한 퇴행성 뇌질환이다. 우리 뇌에는 여러 가지 신경 전달 물질이 있으며 그중 도파민은 운동에 필수적인 신경 전달 물질입니다. 파킨슨병은 중뇌의 흑질이
inthinking.abibcor.org
'건강 맛있게' 카테고리의 다른 글
| 전립선암 초기증상 10가지 ( 예방에 좋은 음식 ) (0) | 2022.06.14 |
|---|---|
| 위암 초기증상 ( 좋은 음식 ) (0) | 2022.06.13 |
| 심근경색 초기증상 ( 예방법 ) (0) | 2022.06.12 |