이번 달로서 담배를 끊은 지 딱 1년이 되었습니다. 다양한 이유가 있지만 담배각에 보이는 폐암의 공포가 담배를 끊게 한 원동력 중 하나입니다. 폐암 초기증상이 나타나지 않았지만 그럴 수 있을 거라는 두려움이 행동하게 했는데요.






비단 담배를 피는게 폐암 초기증상을 일으키지는 않을 것입니다. 그래서 이번에 폐암 초기증상에 대해 자세히 알아보고자 합니다.
폐암 초기증상 및 원인
폐암 이란
폐암은 원발성 폐암을 말하며 원발성 폐암은 폐에서 기원하는 악성 종양을 말한다. 폐로 전이된 암은 폐로 전이된 것으로 분류되며, 폐암이라기 보다는 기원 장기로 전이된 것으로 분류된다. 폐암은 조직학적 유형에 따라 크게 소세포폐암과 비소세포폐암으로 분류된다.
이 분류의 이유는 소세포 폐암이 치료 및 예후 측면에서 다른 유형의 폐암과 확연히 다른 특징을 가지고 있기 때문입니다.



폐암 원인
폐암의 원인은 크게 유전적 요인과 환경적 요인으로 나눌 수 있습니다. 가족 중에 폐암이나 기타 암 진단을 받은 가족력이 있는 경우 유전자 돌연변이에 의한 유전적 요인으로 인해 암 발병 확률이 높아집니다.
이와 같은 유전 질환이 있는 경우 건강을 유지하고 정기적인 건강 검진을 받아야 합니다. 유전적 요인이 폐암의 원인을 설명할 수 있으며, 항암 종양 억제 유전자의 돌연변이나 종양 유전자의 활성화가 폐암을 유발할 수 있다는 보고가 있습니다.



둘째, 환경적 요인이 '폐암'으로 이어질 수 있습니다. 일상 생활에서 흡입되는 발암 물질은 폐암을 유발할 수 있습니다. 즉, 대기오염 가스 중의 발암물질을 흡입하거나 흡연을 통한 발암물질을 직간접적으로 흡입함으로써 폐암이 발생할 수 있습니다. 흡연은 폐에 매우 치명적이어서 흡연은 폐암의 가장 큰 원인이며, 비흡연자도 간접흡연으로 폐암에 걸릴 수 있습니다.
흡연자가 주변에 있으면 비흡연자도 영향을 받는다는 연구 결과가 있습니다. 폐암은 다른 많은 환경적 요인으로 인해 다양한 원인이 있습니다. 또한 폐암은 주로 노인에게 영향을 미치며 40세 미만보다 70세 이상 인구가 더 많습니다. 따라서 나이가 들어감에 따라 정기적인 건강 검진이 필수적입니다.



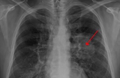
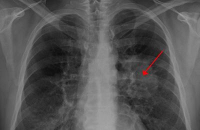
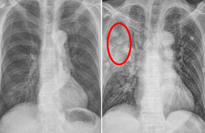
이러한 폐암의 원인으로 인해 폐암으로 진단되기 전에 폐암 초기증상을 조기에 발견하면 다른 장기로의 전이나 진행성 폐암으로의 진행을 어느 정도 지연시키거나 적절하게 치료할 수 있지만 일반적으로 폐암의 초기 단계는 특별한 징후나 증상이 없으므로 조기에 발견하는 경우는 극히 드뭅니다.
폐암 초기증상
잦은 기침
폐암 초기에는 기침이 잦거나 가래가 끓는 등 감기와 같은 증상이 나타날 수 있다. 따라서 폐암은 초기에 암인지 판단하기 어렵다. 또한 객담이나 적혈구를 동시에 토하는 것도 폐암을 진단하는 가장 중요한 증상 중 하나이다. 붉은 피가 섞인 가래 증상이 있으면 병원에 가서 검사를 받아야 한다.



또는 가래, 기침, 목소리가 쉬지 못하는 등 가벼운 감기라고 생각하여 폐암이 진행된 후에 종양이 발견되는 경우가 많습니다. 폐렴은 또한 기관지의 감염성 종양을 동반할 수 있습니다. 또한, 그럼에도 불구하고 폐렴만을 중심으로 치료를 하다 보면 상세한 검사 결과로 인해 종양을 식별하지 못하거나 폐암으로 발전할 수 있습니다.
호흡 곤란
호흡 곤란은 폐암의 증상입니다. 폐암 환자의 약 4분의 1이 호흡곤란 증상을 보이며, 이는 다발성 폐 전이가 양측 증상을 나타내거나 악성 흉막삼출이 폐암과 함께 발생할 때 발생합니다. 폐암은 점차 흉통을 악화시킬 수 있으며, 폐암이 진행됨에 따라 폐암의 크기가 커지거나 그 부위에 물이 차게 되면 호흡이 흉막을 자극하여 호흡곤란과 흉통을 유발할 수 있습니다. 격렬한 작업이나 격렬한 운동을 하지 않았더라도 호흡곤란이 발생하거나 호흡이 불편한 경우 의사의 진찰을 받는 것이 좋습니다.



쉰 목소리
폐암으로 인한 악성종양이 성대의 폭을 조절하는 신경을 손상시키면 목소리는 자연스럽게 증상을 멈춘다. 폐암이 폐와 기관 사이에 있는 신경을 건드리면 소리를 내는 성대를 조절하는 신경이 폐의 일부를 통과하여 성대가 마비되어 소리가 멈춥니다. 또한 폐암은 잦은 기침을 동반하기 때문에 성대에 무리를 줄 수 있습니다. 폐암에 걸려 목이 쉰다면 폐암 3기 이상일 가능성이 큽니다. 이러한 증상을 포함하는 증상이 있는데도 쉰 목소리가 이유 없이 호전되지 않는다면 폐암을 의심해볼 수 있습니다.
객혈
폐암의 또 다른 초기 증상은 객혈입니다. 객혈은 혈액을 토하거나 혼합혈 가래가 계속 나오는 것을 말합니다. 구토가 지속되거나 혈액과 섞이면 의사의 진찰을 받는 것이 좋습니다.



두통, 현기증
뇌는 또한 폐암이 전이되는 장소 중 하나입니다. 폐암의 증상으로는 두통, 구토, 드물게 발작이 있습니다. 다른 신체 증상으로는 악액질, 구토, 가스, 식욕 부진 및 체중 감소가 있습니다. 그 중 악액질은 이른바 둠스데이로 혈우병, 결핵, 암 등 악성질환이 말기에 접어들면 나타나는 고도로 쇠약해진 상태를 말한다. 살이 빠지면 무기력해지고 발, 눈꺼풀 등 다양한 부위에 부종이 생길 수 있으며 심한 빈혈은 피부가 뿌옇고 노랗게 변할 수 있다.
급격한 체중 감소
급격한 체중 감소는 폐암뿐만 아니라 다른 암 및 질병에 기인합니다. 암에 걸린 경우 암세포에 의해 급격한 체중 감소가 발생할 수 있습니다. 암세포가 음식을 섭취함으로써 얻는 에너지를 신체가 사용하는 방식을 바꾸기 때문에 암이 의심될 수도 있습니다.



가슴 통증
폐암의 초기증상 중에 흉통이 있습니다. 폐암 환자의 약 1/3이 흉통을 호소합니다. 흉통의 원인은 폐 가장자리에 종양이 형성되어 암세포를 생성하고 흉벽과 흉막에 침착되어 통증을 유발하는 것입니다.
흉통의 원인은 여러 가지가 있을 수 있지만, 오늘날 우리가 다루고 있는 폐암으로 인한 흉통은 경미한 통증보다는 지속적인 따끔거림과 둔한 통증을 동반한다는 점에 유의하시기 바랍니다. 또한 암은 흉막이나 흉벽 대신 갈비뼈로 퍼져 통증을 유발할 수 있습니다. 종양은 주변 조직 세포를 자극할 수 있으므로 계속해서 통증을 유발하는 경우 의사의 진찰을 받는 것이 좋습니다.






지금까지 폐암 초기증상에 대해서 살펴보았습니다. 폐암 원인도 알아보았으니 건강 관리에 꼭 활용하길 바랍니다.
췌장암 초기증상 8가지
췌장암 초기증상 8가지 국민건강보험동단에 따르면 췌장암 진단을 받은 환자는 지난 4년간 29.4% 증가했습니다. 조기 발견의 어려움으로 췌장암 환자가 크게 증가하고 있다고 합니다. 이러한 췌
inthinking.abibcor.org
대장암 초기증상 ( 좋은 음식과 안좋은 음식 )
화장실을 자주 가는 편입니다. 소변도 문제지만 대변때문에 자주 가는 편입니다. 특히 아침에 장 운동이 활발한지 세, 네번 볼 일을 보는 편입니다. 변비인 분들이 들으면 행복한 소리라고 할 수
inthinking.abibcor.org
'건강 맛있게' 카테고리의 다른 글
| 참외 효능 12가지 ( 부작용 ) (0) | 2022.06.06 |
|---|---|
| 대장암 초기증상 ( 좋은 음식과 안좋은 음식 ) (0) | 2022.06.04 |
| 췌장암 초기증상 8가지 (0) | 2022.05.31 |