췌장암 초기증상 8가지
국민건강보험동단에 따르면 췌장암 진단을 받은 환자는 지난 4년간 29.4% 증가했습니다. 조기 발견의 어려움으로 췌장암 환자가 크게 증가하고 있다고 합니다. 이러한 췌장암 초기증상에 대해 자세히 살펴보겠습니다.






췌장암 이란
췌장은 위의 끝과 배꼽 사이 상복부에 위치한 소화기관으로 각종 소화효소와 인슐린을 분비하여 장내 음식물을 분해하고 혈당을 조절합니다. 췌장은 십이지장과 연결되어 있기 때문에 분비된 소화효소는 십이지장으로 방출되어 위에서 음식물과 섞이게 됩니다. 췌장은 해부학적으로 머리, 몸통, 꼬리로 나뉩니다. 
머리는 담관과 연결되어 있기 때문에 머리에 있는 췌장암이 담관을 막아 황달을 유발할 수 있습니다. 꼬리는 비장과 연결되어 있습니다. 소장과 결장의 일부에 혈액을 공급하는 상부 장간막 동맥은 대동맥에서 분기되어 췌장 근처를 여행합니다. 



췌장에서 발생하는 종양은 인슐린과 같은 호르몬을 분비하는 내분비세포에서 발생하는 종양의 10%, 소화효소를 분비하는 외분비세포에서 발생하는 종양의 90% 이상으로 구분된다. 내분비 세포에서 유래한 기능성 종양은 매우 드뭅니다. 외분비 세포에서 유래한 선암은 흔히 췌장암이라고 합니다.
 
췌장암 원인
췌장암은 췌장의 악성 종양입니다. 다른 암과 마찬가지로 특별한 원인은 없습니다. 노화, 흡연력, 만성 췌장염이 위험인자일 수 있습니다. 특히 췌장암의 발병률은 유전이나 가족력에 의해 크게 증가할 수 있습니다. 가족 중 췌장암 환자가 2명뿐이라고 해도 췌장암 발병 위험은 일반인보다 10배 이상 높다. 이러한 경우는 의학적으로 "가족성 췌장암"으로 알려져 있습니다.



담배는 발암물질이며 췌장암의 발생 및 발병과 밀접한 관련이 있습니다. 흡연은 췌장암의 상대적 위험을 2~5배 증가시킵니다. 담배는 지금까지 알려진 가장 중요한 위험 요소입니다. 또한, 다른 흡연 관련 장기(두경부, 폐, 방광 등)에 악성 종양이 발생하면 췌장암의 발병률이 높아진다는 보고도 있습니다. 췌장암의 약 3분의 1이 흡연으로 인해 발생하며, 흡연자는 비흡연자보다 췌장암에 걸릴 확률이 1.7배 높습니다. 담배를 끊으면 췌장암이 비흡연자와 같은 수준으로 떨어지는 데 10년 이상이 걸릴 수 있습니다. 
드물지만 고위험군도 많이 있습니다. 이것은 발병 연령에 관계없이 친척이나 가족 중 한 명 이상이 50세 이전에 췌장암에 걸렸거나 직계 가족 중에 두 명 이상의 췌장암 환자가 있는 경우에 발생하기 쉽습니다. 유전적 요인을 배제할 수 없기 때문에 정기적인 췌장암 검진이 안전합니다. 췌장암 원인의 약 10%는 유전적 요인이 있는 것으로 알려져 있다. 



췌장암은 장기간의 당뇨병 후에도 발생할 수 있으며, 대신 췌장암은 당뇨병과 함께 발생합니다. 장기간 당뇨병 진단을 받았거나 가족력이 없는 경우 췌장암 검진을 받아야 합니다. 
각종 용제, 휘발유, 유연물질, 살충제(DDT), 베타나프틸아민, 벤지딘 등의 화학물질도 췌장암의 위험인자로 알려져 있다. 이 모든 것이 의심의 여지 없이 입증된 것은 아니지만 여러 연구에서 화학 물질이 췌장암을 유발할 수 있음을 보여주었습니다. 많은 양의 가스에 노출된 사람들은 췌장암에 걸릴 위험이 매우 높습니다.
대장암과 췌장암은 코크스, 탄소 연료, 석탄 또는 타르 작업자, 금속 제조업체, 알루미늄 공장 등을 취급하는 사람들에게 흔히 발생합니다. 기계 수리, 절단 또는 절단 중에 많은 양의 액체와 접촉하는 사람들도 췌장암에 걸릴 위험이 높습니다. 방사선 노출도 위험 요소로 간주됩니다.






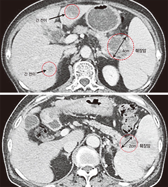
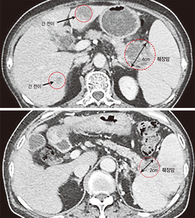
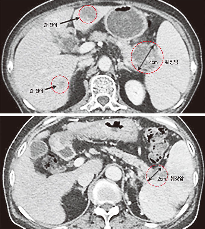
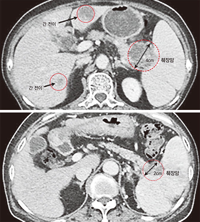
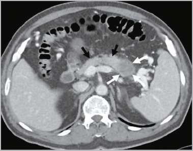
췌장암 초기증상
췌장암 초기증상 - 뇌하수체의 통증과 동반하는 복통
통증은 초기가 아닌 늦게 나타나는 췌장암의 증상입니다. 췌장은 위 뒤에 위치하기 때문에 뇌하수체의 통증이 특히 흔하며, 뇌하수체 바로 아래와 배꼽 위입니다. 이런 복통이 발생하면 단순히 위염이나 장염이라고 생각하고 끝났다고 생각할 수 있습니다. 또한 췌장의 머리는 위장 깊숙한 곳에 위치하며 몸통과 꼬리는 왼쪽으로 뻗어 있습니다.
췌장암 초기증상 - 거식증
췌장암은 거식증이나 체중 감소와 같은 증상이 있을 수 있습니다. 실제로 체중 감소와 식욕 부진이 없는 췌장암 사례는 알려진 바가 없습니다. 체중 감소와 식욕 부진이 대부분의 암의 증상으로 간주되어서는 안 된다는 것은 잘 알려져 있습니다.



췌장암 초기증상 - 황달
췌장암은 거식증이나 체중 감소와 같은 증상이 있을 수 있습니다. 실제로 체중 감소와 식욕 부진이 없는 췌장암 사례는 알려진 바가 없습니다. 체중 감소와 식욕 부진이 대부분의 암의 증상이라는 것은 잘 알려져 있습니다. 가장 흔한 증상 중 하나는 췌장 종양이 십이지장을 천천히 막아 담즙의 흐름을 막는 것입니다. 이것은 황달로 이어져 소변이 갈색이나 빨간색으로 변하고 대변이 흰색이나 회색으로 변합니다. 또한 피부가 가렵거나 눈의 흰자위가 노랗게 변합니다. 황달은 췌장암의 80~90%에서 나타납니다.
 
췌장암 초기증상 - 요통
췌장암의 경우 중기 및 진행기의 환자가 많다. 즉, 요통을 앓고 있다면 불행히도 췌장암은 상당히 진행된 상태입니다. 암세포가 췌장 주변의 신경으로 퍼지면 상복부나 등에 심한 통증을 유발할 수 있습니다. 또한 요통이 아니라 복통이 있다면 암세포가 췌장 주변으로 퍼졌다는 뜻입니다. 통증이 없는 치료에 비해 치료 후 진행이 좋지 않기 때문에 정기적인 검진이 중요합니다.






췌장암 초기증상 - 당뇨
당뇨병이 발병하거나 기존 당뇨병이 악화되거나 췌장염 증상이 나타날 수 있습니다. 당뇨병은 앞서 말했듯이 췌장암의 원인이 될 수 있지만 종양의 결과라고 생각합니다. 따라서 중년 이후에 갑자기 당뇨병이나 췌장질환이 생긴다면 췌장암을 확인하기 위해 검진을 받아야 합니다.
 
췌장암 초기증상 - 소화불량
우리 몸에서 췌장의 두 가지 중요한 기능은 혈당 조절과 소화입니다. 췌장은 음식물을 소화시키는 데 매우 중요한 역할을 하는 소화효소를 분비하는데, 췌장에 종양이 발생하면 이러한 소화효소가 생성되지 않아 소화기능이 자연스럽게 저하된다. 리파아제라는 종류의 리파아제가 제대로 생성되지 않을 때 지방이 많은 음식을 섭취하면 소화 불량과 설사를 유발할 수 있습니다.



고기를 먹을 때 단백질 분해 효소가 부족하면 소화 불량을 유발할 수 있습니다. 물론 식욕은 없어지지만 사실 소화불량 증상은 일상생활에서 매우 흔하기 때문에 소화제를 복용하기만 하면 지나치기 쉽습니다. 그러나 췌장암이 소화불량을 일으키면 신체가 필요한 단백질과 지방을 계속 공급받지 못하기 때문에 근육과 체중이 감소하기 쉽습니다. 따라서 소화불량, 식욕부진, 평소보다 몸이 가벼워지면 췌장암의 징후일 수 있으므로 과용하지 않도록 한다.
췌장암 초기증상 - 메스꺼움
췌장암의 증상으로는 구토, 메스꺼움, 식사 후 통증이 있습니다. 췌장에 문제가 있으면 지방 소화에 문제가 있을 수 있습니다. 이것은 메스꺼움과 구토를 유발할 수 있으며 식사 후 통증을 유발할 수 있습니다.



췌장암 초기증상 - 소변과 대변의 색상의 변화
췌장암의 증상으로는 구토, 메스꺼움, 식사 후 통증이 있습니다. 췌장에 문제가 있으면 지방 소화에 문제가 있을 수 있습니다. 이것은 메스꺼움과 구토를 유발할 수 있으며 식사 후 통증을 유발할 수 있습니다.
 
췌장암 예방법
담배는 주요 위험인자로 알려져 있으므로 금연해야 합니다. 알코올 섭취 간의 연관성은 불분명하지만 췌장염을 유발할 수 있으므로 췌장암 예방에도 도움이 됩니다. 감귤류, 통곡물, 강황이 풍부한 음식, 엽산이 풍부한 야채, 생선 튀김을 섭취하여 가공육이나 지나치게 구운 음식을 피하는 것은 췌장암을 예방하는 작지만 큰 방법입니다. 적절한 운동과 체중 조절도 췌장암을 예방하는 데 도움이 될 수 있습니다.






지금까지 췌장암 초기증상에 대해서 알아보았습니다. 항상 건강관리에 유의하시길 바랍니다.
당뇨병 초기증상 10가지 ( 치료법 )
현재 장인어른께서 당뇨를 앓고 계십니다. 그래서 가족들끼리 모여서 식사를 할때면 메뉴 선정에 가끔 장인어른의 컨디션을 고려하는데요. 매우 피곤해 하실때가 있어서 먼거리의 식당을 가기
inthinking.abibcor.org
'건강 맛있게' 카테고리의 다른 글
| 대장암 초기증상 ( 좋은 음식과 안좋은 음식 ) (0) | 2022.06.04 | 
|---|---|
| 당뇨병 초기증상 10가지 ( 치료법 ) (0) | 2022.05.29 | 
| 대상포진 초기증상 8가지 (0) | 2022.05.29 |